

way of giving back.
more than work;






Welcome to True Smile Design
True Smile Design is more than a technique—it’s a progressive philosophy that redefines how we approach smile design through education, innovation, and real-time clinical insight. Developed by Dr. Rami Salloum, a board-certified implant dentist and a pioneer in digital restorative workflows, this concept was born from a desire to overcome the limitations of traditional digital smile design and offer a more predictable, patient-centered path to esthetic excellence.
Digital Conventional Denture
Upgrade your denture expertise. Learn to blend traditional craftsmanship with digital precision for superior .
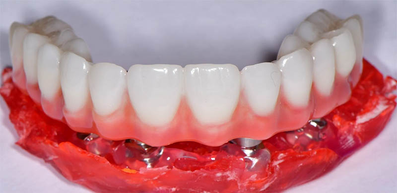
Guided Implant Placement
Acquire the skills to plan and execute implant procedures with utmost accuracy using advanced guided techniques.
Rapid Digital Conversion
Elevate your practice with our fast-track digital conversion course. Master digital tools, streamline workflows, and enhance patient care.
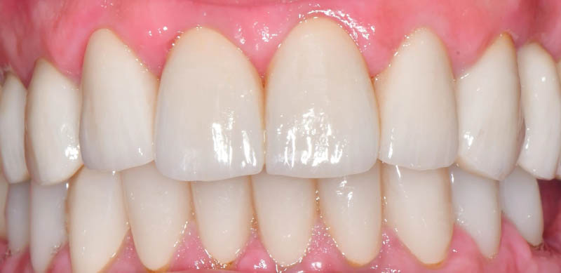
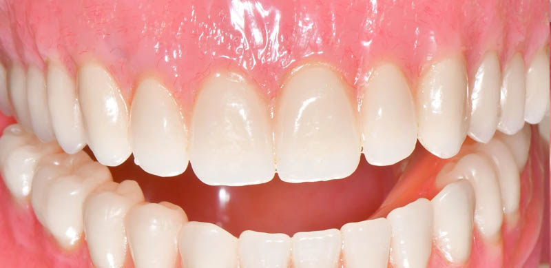
True Smile Design
Unveil the art of smile transformation with our True Smile Design Course. Discover how to fine-tune restorations for impeccable aesthetics and function
Dr. Rami Salloum – Founder, True Smile Design
DDS, DABOI, FAAID Bethlehem, Pennsylvania
Dr. Rami Salloum is a board-certified implant dentist, innovator, and educator dedicated to transforming the way full-arch restorations are delivered. With nearly 20 years of clinical experience, he is the founder of True Smile Design and the visionary behind Rapid Digital Conversion—a breakthrough technique that enables fully digital, second-day provisional restorations for All-on-X cases.
A graduate of Loma Linda University School of Dentistry and a Diplomate of the American Board of Oral Implantology, Dr. Salloum also completed the prestigious MaxiCourse in Implant Dentistry at Rutgers University. He is a Fellow of the American Academy of Implant Dentistry and an active member of several leading dental organizations, including the Academy of Osseointegration and Dental XP.
Trusted by Leading Dental Professionals
Our educational services, affiliations with esteemed organizations, and the products we utilize have
earned the trust and endorsement of leading dentists nationwide.
