Unlock the Art of True Smile Design
Embrace innovation in dentistry through our immersive one-day True Smile Design course. Explore an ingenious approach that revolves around refining dental restorations using provisional PMMA (Polymethyl methacrylate) restorations, leading to superior aesthetic and functional outcomes.
The Essence of True Smile Design
Morning Session
Unveiling the Concept
- Introduction to True Smile Design: Embark on a journey into the innovative realm of True Smile Design, redefining dental restorations.
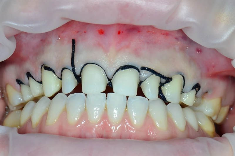
- Mimicking Perfection: Master the art of crafting provisional PMMA restorations, creating replicas that mirror final restorations in size, shape, and color.
Patient-Centric Approach
- Patient Engagement Dynamics: Understand the core of True Smile Design’s patient-centric philosophy, harmonizing patient preferences with dental expertise.
- Fine-Tuning Fundamentals: Explore the meticulous process of refining provisional restorations, ensuring exceptional aesthetics, fit, and function.
Craftsmanship in Action
Afternoon Session
Transformative Process
- Patient-Centric Excellence Continues: Learn the power of patient feedback in shaping the final restoration, achieving an ideal blend of their desires and clinical finesse.
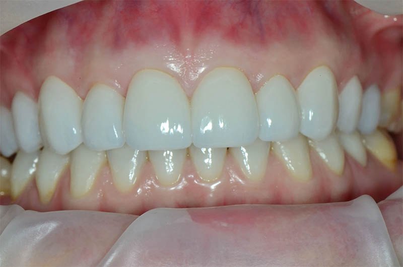
- Blueprint for Brilliance: Witness the remarkable evolution of provisional restorations into a definitive guide for crafting the ultimate masterpiece.
Hands-On Artistry
- Skill Refinement: Engage in immersive hands-on practice, honing your True Smile Design capabilities and comprehending PMMA restoration intricacies.
- Crafting Aesthetic Brilliance: Discover the secrets of material transformation, replicating the provisional brilliance with permanent materials like ceramic or zirconia..
Elevate Your Dentistry Mastery:
Experience the True Smile Design revolution over two dynamic days. From mastering provisional PMMA artistry to weaving patient engagement into the restoration journey, this course uncovers the artful blend of innovation and patient-centered excellence. Join us on this transformative odyssey and shape the future of your dentistry practice!
